TOTI PENTRU ADA
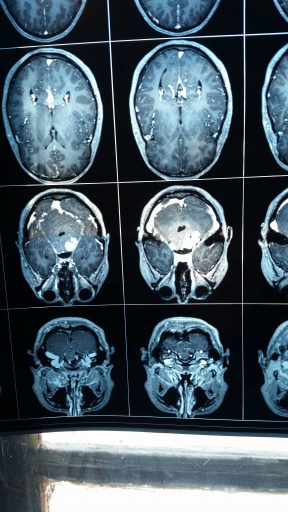
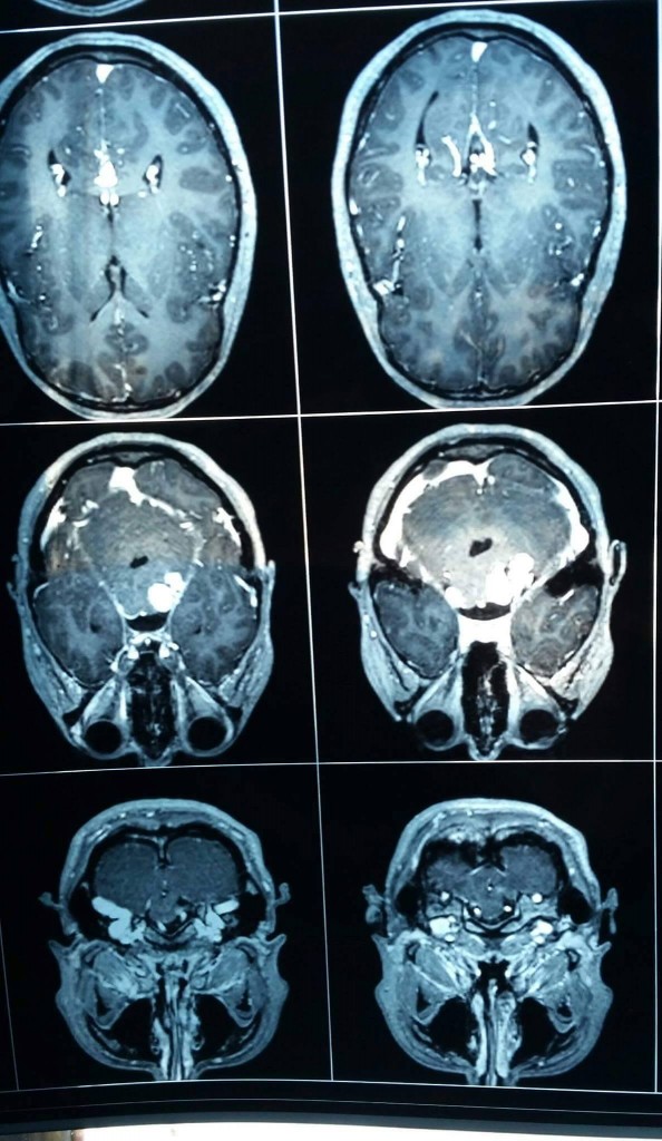
Acum mai bine de un an a intrat in echipa Ada (Adriana Iliescu), 23 de ani. O stiam de ceva vreme pentru ca evolua intr-o alta echipa de mixt asa incat s-a integrat cat ai spune “goool”. O tipa extrem de talentata, foarte muncitoare, cu zambetul pe buze. Insa de ceva vreme zambetul a inceput sa ii dispara, locul acestuia fiind luat de ingrijorare. Am aflat de curand ca motivele de ingrijorare ale Adei sunt mai serioase decat am fi dorit. Diagnostic: neurofibromatoza de tip 2 cu neurinom acustic bilateral compresiv pe trunchiul cerebral, maningioame ale fosetei Meckel dreapta si cervical cu compresie medulara.
Neurinoamele acustice sunt afecţiuni benigne destul de rar întâlnite, insa nemiloase. Pierderea auzului este numai primul pas, urmand o data cu marirea lor si risc de pareza, paralizie si alte complicatii.
Unii oameni sunt mai puternici decat credem. Intr-o emotionanta relatare Ada si-a istorisit povestea si asa am aflat ca primele simptome au aparut acum circa 2 ani, moment in care ea a inceput un lung si anevoios drum prin spitale pentru a descoperi care este motivul pentru care incepuse sa isi piarda auzul pe partea dreapta. Nimeni dintre noi, insa, nu a banuit nimic sau ca situatia ar fi atat de serioasa.
In plus, diagnosticul nu aduce cu sine numai durere ci si deznadejde. Iar cand o tanara de 23 de ani scrie: “Ce optiuni am? Sa ma impac cu ideea ca nu voi mai zambi niciodata si ca voi avea probleme cu echilibrul in continuare. Sau ca o sa ajung in stadiul in care nu o sa mai aud deloc si nu voi mai putea sa-mi controlez muschii fetei. Ca voi fi respinsa intotdeauna de cei din jur si nu voi putea niciodata sa am pe cineva alaturi.”, atunci stii ca ceva trebuie facut.
Dupa multi medici si multe pareri, Ada a aflat ca trebuie sa se opereze in strainatate si asteapta acum o estimare de la clinica din Hanovra – International Neuroscience Institute. Din informatiile pe care le are pana acum ar fi nevoie de 40.000 euro, o suma uriasa pentru o tanara care tocmai a terminat facultatea. Insa, avem incredere.
Christiana, cea mai buna prietena a Adei si coechipiera la HC Victoria, o caracterizeaza astfel: “Am cunoscut-o din intamplare pentru ca aveam o pasiune comuna inca de mici, handbalul, si fara sa fiu o persoana care sa creeze o legatura doar pentru atat, Ada mi-a intrat la suflet imediat. Este o persoana extrem de deschisa si ajungand sa o cunosc mi-am dat seama ca a trecut prin multe intamplari pe care altii n-au fost nevoiti nici sa si le imagineze. Insa asta nu a facut-o sa priveasca lumea cu alti ochi. Ba mai mult, Ada este dispusa sa renunte la multe pentru a pune un zambet pe chipul cuiva. Poate pentru ca stie cat este de important si cat de mult cantareste.”
“Recent am aflat ce i se intampla de fapt, dupa mult timp in care “doar avea probleme cu o ureche” dupa cum ne spunea ea. Nu stiu cati ar accepta acest lucru la o varsta atat de frageda continuand sa lupte pentru sansa ei. Dar ea continua sa zambeasca la fel cum am cunoscut-o si sa lupte asa cum dintotdeauna stiam ca este in stare” mai spune Christiana.
Ada face handbal de la 11 ani, iar noi ne dorim enorm sa revina in echipa si sa poata juca alaturi de noi. Si pentru ca suntem o echipa vom lupta si noi impreuna cu Ada pentru ca acest diagnostic crunt sa fie, la un moment dat, o amintire care a facut-o pe Ada noastra si mai puternica.
Si-a facut singura un blog unde posteaza update-uri privind situatia ei. Poate fi accesat aici : Blog Ada
UPDATE :
Haideti sa-i dam o mana de ajutor!
Pentru donatii puteti folosi conturile de mai jos (specificati Donatie la detalii)
ILIESCU ELENA ADRIANA
RO57INGB0000999902831218 ING lei
RO48INGB0000999905663489 ING euro









